
星野歯科駒沢クリニック
HOSHINO DENTAL KOMAZAWA CLINIC
ORTHODONTICS
ワイヤー矯正は様々な症例に対応できます。
全体的に歯を動かしたり、スペースが少なく抜歯が必要なケースに向いています。
当医院では見えにくい、目立ちにくい矯正装置のご提案をしています。表側矯正では、クリアブラケット(透明な装置)にホワイトワイヤーのタイプや、舌側矯正は、装置がほとんど見えません。
見えにくい矯正ではマウスピースタイプの矯正がありますが、前歯6本のみを動かす症例で臼歯部が安定しているケースに限ります。全体の歯並びには見えにくい、目立ちにくいワイヤー矯正がおすすめです。
矯正術前顔

矯正術後顔

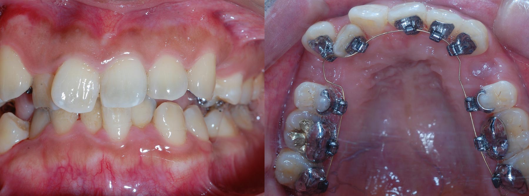
裏側ワイヤーによる歯列矯正
約2年6ヵ月
裏側矯正 上下
¥1,045,000
診断料
¥34,650
抜歯
¥8,800×2本
調整料
¥9,350×24回
リスク・副作用
※ 歯みがきが不十分な場合には、虫歯や歯肉炎が進行することがあります。
※ 顎関節が弱い方の場合、関節異常が出ることがあります。矯正治療中に顎の関節から音がする、痛くなる、口が開きにくくなる、といったような症状が出た場合はお知らせください。
その場合は顎関節症の治療をすることがあります。
※ 長期の矯正治療により歯根吸収が生じる恐れがあります。
※ 歯ぐきや歯槽骨が多少やせることがあります。
そのため、術前の状態より歯肉が退縮し、隙間ができることがあります。
※ 体質により金属アレルギーを引き起こす事があります。
※ 治療後、知覚過敏や痛みなどが出たり、吸収された骨が再生しなくなることがあります。
※ 歯肉が退縮して歯が長く見えたり、歯と歯の隙間が広くなったりすることもあります。
矯正術前正面・横顔

矯正術後正面・横顔

裏側ワイヤーによる歯列矯正
約2年8ヵ月
裏側矯正 上下
¥1,045,000
診断料
¥34,650
抜歯
¥8,800×4本
調整料
¥9,350×25回
リスク・副作用
※ 歯みがきが不十分な場合には、虫歯や歯肉炎が進行することがあります。
※ 顎関節が弱い方の場合、関節異常が出ることがあります。矯正治療中に顎の関節から音がする、痛くなる、口が開きにくくなる、といったような症状が出た場合はお知らせください。
その場合は顎関節症の治療をすることがあります。
※ 長期の矯正治療により歯根吸収が生じる恐れがあります。
※ 歯ぐきや歯槽骨が多少やせることがあります。
そのため、術前の状態より歯肉が退縮し、隙間ができることがあります。
※ 体質により金属アレルギーを引き起こす事があります。
※ 治療後、知覚過敏や痛みなどが出たり、吸収された骨が再生しなくなることがあります。
※ 歯肉が退縮して歯が長く見えたり、歯と歯の隙間が広くなったりすることもあります。
舌側矯正治療前

舌側矯正治療後

裏側ワイヤーによる歯列矯正
約2年6ヵ月
裏側矯正 上下
¥1,045,000
診断料
¥34,650
抜歯
¥8,800×4本
調整料
¥9,350×23回
リスク・副作用
※ 歯みがきが不十分な場合には、虫歯や歯肉炎が進行することがあります。
※ 顎関節が弱い方の場合、関節異常が出ることがあります。矯正治療中に顎の関節から音がする、痛くなる、口が開きにくくなる、といったような症状が出た場合はお知らせください。
その場合は顎関節症の治療をすることがあります。
※ 長期の矯正治療により歯根吸収が生じる恐れがあります。
※ 歯ぐきや歯槽骨が多少やせることがあります。
そのため、術前の状態より歯肉が退縮し、隙間ができることがあります。
※ 体質により金属アレルギーを引き起こす事があります。
※ 治療後、知覚過敏や痛みなどが出たり、吸収された骨が再生しなくなることがあります。
※ 歯肉が退縮して歯が長く見えたり、歯と歯の隙間が広くなったりすることもあります。
ホワイトワイヤー

矯正歯科:その他 目次
クリニックについて
CLINIC OVERVIEW
料金表
PRICE LIST